Accessible Version
Spencer Rowan DDS
Creed Rowan DMD
Dentist in Merced, CA
Spencer Rowan DDS
Creed Rowan DMD
Dentist in Merced, CA
Request an Appointment
Like us on Facebook
Leave a Google Review
(209) 383-9187
General and Aesthetic Dentistry
631 W. 25th Street, Merced, CA 95340
631 W. 25th Street, Merced, CA 95340
Patient Forms
Menu
Call
Book Now
Map
Home
About
Our Team
Office Pictures
Services
View All
General Dentistry
Crowns and Veneers
Tooth-Colored Fillings
Tooth Extractions
Dental Implants vs. Dental Bridges
Full and Partial Dentures
Cosmetic Dentistry
Full-Mouth Rehabilitation
Teeth Cleanings
Root Canal Treatment
Smile Gallery
Testimonials
Patient Info
View Patient Info
Forms
Financial
FAQs
Contact
Spencer Rowan DDS
Creed Rowan DMD
>
Smile Gallery
>
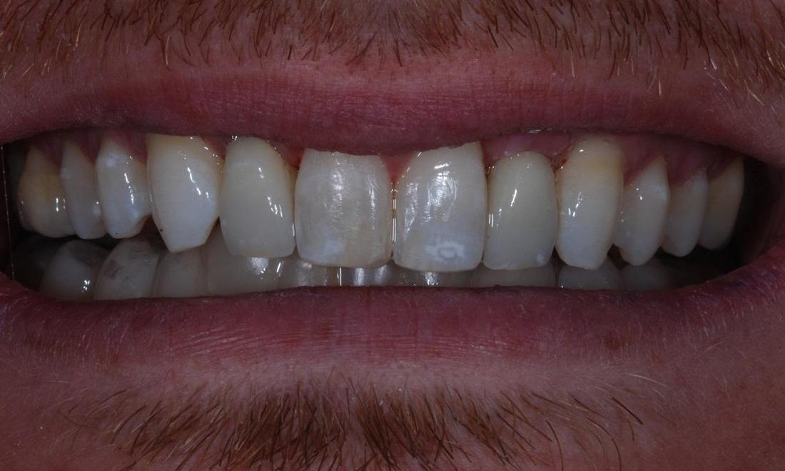
Implants
Implants
Return to Smile Gallery
Related Services:
Dental Implants vs. Dental Bridges
Service Performed By:
Spencer Rowan
Drag the arrows back and forth to view complete Before and After views
Still need an appointment?
Contact Us
If you have difficulty using our website, please
email us
or call us at
(209) 383-9187
View the
ADA Accessibility Statement
Turn on ADA Views
Privacy Policy
OK!
×
×
Contact Us Today
Give Us A Call
Creed Rowan DMD -
(209) 383-9187
Send Us an Email
Request an Appointment
Contact Us
Ready to Schedule an Appointment?
Book Online
Have Questions? Contact Us:
Required Field
Your Name:
Phone:
Email:
Are you a new patient?:
Are you a?
New Patient
Current Patient
How would you like us to contact you?
Please choose
Email
Call
How did you hear about us?
Please choose
I'm an existing patient
Google/Bing
Mailer
Word of mouth
Social media
Other
Who Referred You?:
Appointment Preferences
Monday
Monday
Tuesday
Tuesday
Wednesday
Wednesday
Thursday
Thursday
Your Message:
This site is protected by reCAPTCHA and the Google
Privacy Policy
and
Terms of Service
apply.
Sending...
×
This Patient's Experience
Loading Testimonial...
Loading Case...